Clavicle (Clavicula)
Clavicle fracture (clavicular fracture)
Definition:
A fracture of the collarbone is often incurred by a fall on the shoulder or the outstretched arm.
Symptoms:
Injury is noticeable when pain is present in the collarbone, which may also be accompanied by swelling. In addition, the mobility of the affected shoulder may be limited.
Diagnostic und Therapy:
In general, fractures of the collarbone are distinguished between those located in the shaft area of the bone and those located closer to the shoulder angle joint. The type of fracture has an influence on the choice of therapy method.
For undisplaced and stable fractures, conservative therapy without surgery is often possible. This conservative therapy can be performed on most of the clavicle fractures. Here, a so-called "backpacking bandage" is created and a pain therapy is carried out to relieve pain and immobilize the fracture. The fragments heal together within a few weeks. The backpack can be removed after some time and a physiotherapeutic exercise program can be started.
For severely displaced fractures, which do not allow for an independent coalescence of the fractured ends, or at risk of the surrounding soft-tissue mantle, an operative care should be performed. For fractures that lie in the shaft area of the bone, this is done with a titanium plate, with additional lag screws, it should cause optimal compression of the fragments.

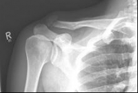
Picture 1 Picture 2
Picture 1: Displaced fracture of the left collarbone before surgery.
Picture 2: After the operation, the fracture is correctly repositioned and held in position with a titanium plate and two screws..
Acromioclavicular (lateral clavicular fracture), should be treated surgically, as a conservative therapy often leads to the formation of a so-called pseudarthrosis. Various implants are available, such as the hook plate and an anatomically preformed angular stable lateral clavicle plate.

Images: A lateral clavicle fracture was treated with a hook plate. The hook is fixed under the acromioclavicular, while screws anchor the plate in the collarbone.

Pictures: Here, an angle-stable plate was used to supply the clavicle fracture near the shoulder joint. This plate makes it possible to anchor many screws in the fragment and thus obtain a good stabilization.
After treatment:
After the surgical treatment, there is also physiotherapeutic exercises to be practiced of the affected shoulder. After a collarbone fracture, you should not lift the affected arm over the horizontal for about 6 weeks to ensure a proper healing of the fracture. In addition, the arm should not be encumbered or use it to lift heavy objects for about 3 months and no contact sports should be carried out.
